cornerstoneWADOImageLoader
cornerstoneWADOImageLoader copied to clipboard
"Function signature mismatch" loading JPEG2000 dicom
https://rawgit.com/cornerstonejs/cornerstoneWADOImageLoader/master/examples/dicomfile/index.html
I'm able to parse that file with dicom-parser and also open it with desktop software like Weasis.
If I use older version of cornerstoneWADOImageLoader I get a different error:
offset is out of bounds
I tracked that error to the exact place where it is happening, it's in the function decodeOpenJPEG on this line:
var ret = openJPEG.ccall('jp2_decode', 'number', ['number', 'number', 'number', 'number', 'number', 'number', 'number'], [dataPtr, data.length, imagePtrPtr, imageSizePtr, imageSizeXPtr, imageSizeYPtr, imageSizeCompPtr]);
Fun fact. If I set a breakpoint at this line and try to print it in the console before it executes, it will throw the error:
var ret = openJPEG.ccall('jp2_decode', 'number', ['number', 'number', 'number', 'number', 'number', 'number', 'number'], [dataPtr, data.length, imagePtrPtr, imageSizePtr, imageSizeXPtr, imageSizeYPtr, imageSizeCompPtr]);
cornerstoneWADOImageLoader.js:3688 Uncaught RangeError: offset is out of bounds
at Uint8Array.set (<anonymous>)
at _emscripten_memcpy_big (cornerstoneWADOImageLoader.js:3688)
at Ui (cornerstoneWADOImageLoader.js:3695)
at Bi (cornerstoneWADOImageLoader.js:3695)
at wb (cornerstoneWADOImageLoader.js:3693)
at Rb (cornerstoneWADOImageLoader.js:3693)
at cd (cornerstoneWADOImageLoader.js:3693)
at zd (cornerstoneWADOImageLoader.js:3693)
at md (cornerstoneWADOImageLoader.js:3693)
at oc (cornerstoneWADOImageLoader.js:3693)
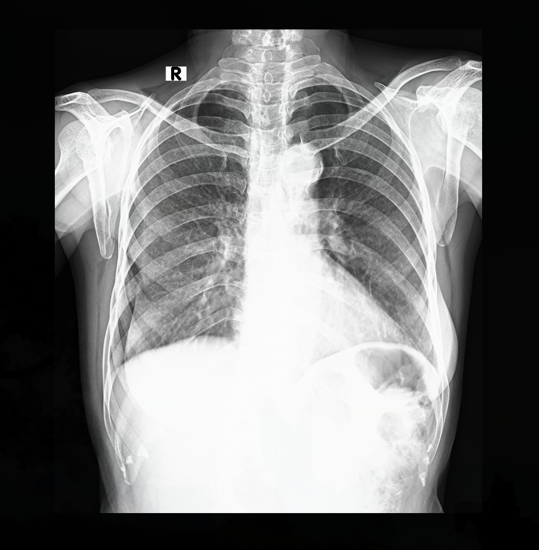
but then if I continue execution the image will partly load:

And here is this image loaded in Weasis:

This issue is still there. Has there been any findings on this?